Ultrasound Diagnostics
3D Visualization / Research Interface
Ultrasound is one of the most widespread image based diagnostic methods in medicine. During recent years, ultrasound technology has made tremendous progress, thus enabling us today to represent three-dimensional structures and to visualize dynamic courses (e.g. the circulation of the blood).
The Institute for Medical and Analysis Technologies is active in the field of ultrasound visualization. The basis for our own research activities is a latest generation ultrasound device by Siemens.
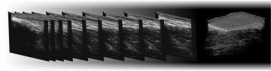
The Sono3D ultra sounding project uses an optical motion tracking system to track the movement of the ultrasound probe. The tracking information is then mapped on the 2D frames captured by the ultrasound device.
Dedicated software running on a commercial personal computer calculates the 3D model from the captured data which then is visualized in an OpenGL Framework.
Furthermore IMA is building competences for the open interface provided by the University of California and Siemens. The Ultrasound Research Interface (URI) enables us to influence the functions and image processing of the device.
Thus, IMA is able to:
- gain insight into the employed algorithms,
- pass on the insights in education and further education and
- implement and test new algorithms and thus to contribute to the shaping of the future of sonography
This article is also available as PDF-file.

